Lompat ke konten Lompat ke sidebar Lompat ke footer

Oraler Lichen Planus Heilung

Oraler Lichen Planus Olp Und Orale Lichenoide Reaktion Olr Zwp Online Das Nachrichtenportal Fur Die Dentalbranche

Oraler Lichen Planus Olp Und Orale Lichenoide Reaktion Olr Zwp Online Das Nachrichtenportal Fur Die Dentalbranche

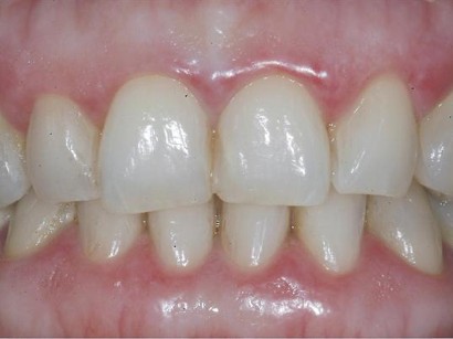
Oraler lichen planus heilung. Da keine vollständige Heilung erzielt werden kann soll lediglich eine symptomatische Therapie durchgeführt werden 5 27. Die orale Erscheinungsform des Lichen planus OLP zeigt in einer Vielzahl der Fälle eine eindeutige klinische Morphologie sowie eine charakteristische Lokalisation siehe Abb. Die Therapie des OLP hängt von den Beschwerden und dem klinischen Erscheinungsbild ab.

The disease is not contagious. Orale PUVA- und Schmalband-UVB-. Sie stellt eine Variante des Lichen ruber planus dar und gilt als fakultative Präkanzerose.

Der orale Lichen planus ist eine relativ häufige subakut bis chronisch verlaufende nicht-kontagiöse Erkrankung der Mundschleimhaut. Der orale Lichen planus OLP ist mit einer Prävalenz von 01 - 4 Prozent eine der häufigsten Mundschleimhauterkrankungen innerhalb der adulten Bevölkerung Siehe. Und bis zu 100 der Patienten unter oraler PUVA-Fotothe-rapie vollständige oder teilweise Heilung bei einer mittleren Behandlungsdauer von 105 Wochen für PUVA und 82 Wochen für Schmalband-UVB 6.

Heilung des Lichen ruber planus Normalerweise heilt die Krankheit nach einem Zeitraum von mehreren Monaten spontan von alleine wieder ab wobei die durchschnittliche Krankheitsdauer ein bis. Treatment and drugs in German. Oral lichen planus LIE-kun PLAY-nus is a chronic condition that affects the inner lining inside your mouth.

Lichen planus oraler Lichenoide Eruptionen Craurosis vulvae Lichen sclerosus et atrophicus Zungenkrankheiten Hyperpigmentation Leukoplakie orale Mundkrankheiten Keratose Vulvakrankheiten Mundtumoren Gingivitis nekrotisierende ulzeröse Lippenkrankheiten Lichen nitidus Aphthenerkrankung Neurodermitis Gingivakrankheiten Melanose Leukoplakie. SWISS DENTAL JOURNAL SSO 127. Reticular lichen planus comes from the lace-like pattern of fine white lines that appear on the inside of the cheeks gums and tongue.

Dies sollte in der Regel in Zusammenarbeit mit ei-nem erfahrenen Dermatologen geschehen. Zur Behandlung können wie bei der Knötchenflechte der Haut auch im Mund spezielle Kortisonpräparate oder Vitamin-A-Säurepräparate zum Einsatz kommen. Ein oraler Lichen ruber planus wird durch entzündungs- und juckreizlindernde Medikamente wie Glukokortikoide Kortison oder Vitamin-A-Säurepräparate z.

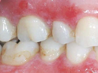
It may appear as white lacy patches red swollen tissues or open sores. Lichen Planus Behandlung Auch unbehandelt klingt Lichen planus in der Regel von selbst wieder ab obwohl es Monate oder Jahre dauern kann bis er vollständig verschwindet.

Oraler Lichen Planus Olp Und Orale Lichenoide Reaktion Olr Zwp Online Das Nachrichtenportal Fur Die Dentalbranche

Oraler Lichen Planus Olp Und Orale Lichenoide Reaktion Olr Zwp Online Das Nachrichtenportal Fur Die Dentalbranche

Oraler Lichen Planus Olp Und Orale Lichenoide Reaktion Olr Zwp Online Das Nachrichtenportal Fur Die Dentalbranche

Oraler Lichen Planus Olp Und Orale Lichenoide Reaktion Olr Zwp Online Das Nachrichtenportal Fur Die Dentalbranche

Oraler Lichen Planus Olp Und Orale Lichenoide Reaktion Olr Zwp Online Das Nachrichtenportal Fur Die Dentalbranche

Oraler Lichen Planus Olp Und Orale Lichenoide Reaktion Olr Zwp Online Das Nachrichtenportal Fur Die Dentalbranche

Der Orale Lichen Planus Ein Update Zwp Online Das Nachrichtenportal Fur Die Dentalbranche

Der Orale Lichen Planus Ein Update Zwp Online Das Nachrichtenportal Fur Die Dentalbranche

Lichen Planus In Der Mundhohle Deximed

Lichen Planus In Der Mundhohle Deximed

Oraler Lichen Planus Stockfotografie Alamy

Oraler Lichen Planus Stockfotografie Alamy

Mundschleimhauterkrankungen Lichen Planus Tipps Zur Diagnose Und Therapie Springermedizin At

Mundschleimhauterkrankungen Lichen Planus Tipps Zur Diagnose Und Therapie Springermedizin At

Oral Lichen Planus Causes Symptoms Treatment Bluem

Oral Lichen Planus Causes Symptoms Treatment Bluem

Erosive Lichen Planus Dermatly Com Die Website Ihrer Haut

Erosive Lichen Planus Dermatly Com Die Website Ihrer Haut

Lichen Ruber Mucosae Harmlos Bis Gefahrlich Zwp Online Das Nachrichtenportal Fur Die Dentalbranche

Lichen Ruber Mucosae Harmlos Bis Gefahrlich Zwp Online Das Nachrichtenportal Fur Die Dentalbranche

Lichen Planus Mucosae Altmeyers Enzyklopadie Fachbereich Dermatologie

Lichen Planus Mucosae Altmeyers Enzyklopadie Fachbereich Dermatologie

Diagnostik Und Behandlung Des Oralen Lichen Planus Springerlink

Diagnostik Und Behandlung Des Oralen Lichen Planus Springerlink

Mundschleimhauterkrankungen Lichen Planus Tipps Zur Diagnose Und Therapie Springermedizin At

Mundschleimhauterkrankungen Lichen Planus Tipps Zur Diagnose Und Therapie Springermedizin At

Lichen Ruber Planus Deximed

Lichen Ruber Planus Deximed

Oraler Lichen Planus Olp Und Orale Lichenoide Reaktion Olr Zwp Online Das Nachrichtenportal Fur Die Dentalbranche

Oraler Lichen Planus Olp Und Orale Lichenoide Reaktion Olr Zwp Online Das Nachrichtenportal Fur Die Dentalbranche

Der Orale Lichen Planus Ein Update Zwp Online Das Nachrichtenportal Fur Die Dentalbranche

Der Orale Lichen Planus Ein Update Zwp Online Das Nachrichtenportal Fur Die Dentalbranche

Lichen Planus Mucosae Altmeyers Enzyklopadie Fachbereich Dermatologie

Lichen Planus Mucosae Altmeyers Enzyklopadie Fachbereich Dermatologie

Der Orale Lichen Planus Ein Update Zwp Online Das Nachrichtenportal Fur Die Dentalbranche

Der Orale Lichen Planus Ein Update Zwp Online Das Nachrichtenportal Fur Die Dentalbranche

Lichen Planus Mucosae Altmeyers Enzyklopadie Fachbereich Dermatologie

Lichen Planus Mucosae Altmeyers Enzyklopadie Fachbereich Dermatologie

Lichen Planus Erkrankungen Der Haut Msd Manual Profi Ausgabe

Lichen Planus Erkrankungen Der Haut Msd Manual Profi Ausgabe

Mundschleimhauterkrankungen Lichen Planus Tipps Zur Diagnose Und Therapie Springermedizin At

Mundschleimhauterkrankungen Lichen Planus Tipps Zur Diagnose Und Therapie Springermedizin At

Oraler Lichen Planus Olp Und Orale Lichenoide Reaktion Olr Zwp Online Das Nachrichtenportal Fur Die Dentalbranche

Oraler Lichen Planus Olp Und Orale Lichenoide Reaktion Olr Zwp Online Das Nachrichtenportal Fur Die Dentalbranche

Lichen Ruber Planus Deximed

Lichen Ruber Planus Deximed

Https Encrypted Tbn0 Gstatic Com Images Q Tbn And9gcsi0mtobu77crgvw 26el Dogm0efdgxukse226pjbrduocxipg Usqp Cau

Https Encrypted Tbn0 Gstatic Com Images Q Tbn And9gcsi0mtobu77crgvw 26el Dogm0efdgxukse226pjbrduocxipg Usqp Cau

Blickdiagnostik Bei Veranderungen Der Mundschleimhaut Fachgebiete Zmk Aktuell De

Blickdiagnostik Bei Veranderungen Der Mundschleimhaut Fachgebiete Zmk Aktuell De

Https Mediatum Ub Tum De Doc 1229125 1229125 Pdf

Https Mediatum Ub Tum De Doc 1229125 1229125 Pdf

Oraler Lichen Planus Eine Interdisziplinare Herausforderung Springerlink

Oraler Lichen Planus Eine Interdisziplinare Herausforderung Springerlink

Erkrankungen Der Mundschleimhaut Fachgebiete Zmk Aktuell De

Erkrankungen Der Mundschleimhaut Fachgebiete Zmk Aktuell De

Oraler Lichen Planus Eine Interdisziplinare Herausforderung Springerlink

Oraler Lichen Planus Eine Interdisziplinare Herausforderung Springerlink

Lichen Ruber Planus Knotchenflechte Apotheken Umschau

Lichen Ruber Planus Knotchenflechte Apotheken Umschau

Mundschleimhauterkrankungen Lichen Planus Tipps Zur Diagnose Und Therapie Springermedizin At

Mundschleimhauterkrankungen Lichen Planus Tipps Zur Diagnose Und Therapie Springermedizin At

Lichen Ruber Ursachen Diagnose Behandlung Praktischarzt

Lichen Ruber Ursachen Diagnose Behandlung Praktischarzt

Lichen Ruber Knotchenflechte Gesundheit De

Lichen Ruber Knotchenflechte Gesundheit De

Aktuelle Konzepte Zur Behandlung Von Aphthen Quintessenz Verlags Gmbh

Aktuelle Konzepte Zur Behandlung Von Aphthen Quintessenz Verlags Gmbh

Lichen Planus Erkrankungen Der Haut Msd Manual Profi Ausgabe

Lichen Planus Erkrankungen Der Haut Msd Manual Profi Ausgabe

Lichen Ruber Planus

Lichen Ruber Planus

Lichen Planus Tacrolimus Als Alternative Behandlungsoption Derma Plus

Lichen Planus Tacrolimus Als Alternative Behandlungsoption Derma Plus

Lichen Ruber Ursachen Symptome Therapie

Lichen Ruber Ursachen Symptome Therapie

Https Www Online Dzz De Fileadmin User Upload Heftarchiv Dzz Article 2012 10 C0a9f409 Bef0 4754 9251 2113f971a72a C0a9f409bef0475492512113f971a72a Uebersicht Lichen Planus Bornstein 1 Original Pdf

Https Www Online Dzz De Fileadmin User Upload Heftarchiv Dzz Article 2012 10 C0a9f409 Bef0 4754 9251 2113f971a72a C0a9f409bef0475492512113f971a72a Uebersicht Lichen Planus Bornstein 1 Original Pdf

Lichen Planus Mucosae Altmeyers Enzyklopadie Fachbereich Dermatologie

Lichen Planus Mucosae Altmeyers Enzyklopadie Fachbereich Dermatologie

Lichen Planus Erkrankungen Der Haut Msd Manual Profi Ausgabe

Lichen Planus Erkrankungen Der Haut Msd Manual Profi Ausgabe

Https Www Online Dzz De Fileadmin User Upload Heftarchiv Dzz Article 2012 10 C0a9f409 Bef0 4754 9251 2113f971a72a C0a9f409bef0475492512113f971a72a Uebersicht Lichen Planus Bornstein 1 Original Pdf

Https Www Online Dzz De Fileadmin User Upload Heftarchiv Dzz Article 2012 10 C0a9f409 Bef0 4754 9251 2113f971a72a C0a9f409bef0475492512113f971a72a Uebersicht Lichen Planus Bornstein 1 Original Pdf

Https Www Zora Uzh Ch Id Eprint 97878 1 Olp Dissertation 2520mandirola Pdf

Https Www Zora Uzh Ch Id Eprint 97878 1 Olp Dissertation 2520mandirola Pdf

Blickdiagnostik Bei Veranderungen Der Mundschleimhaut Fachgebiete Zmk Aktuell De

Blickdiagnostik Bei Veranderungen Der Mundschleimhaut Fachgebiete Zmk Aktuell De

Lichen Ruber Diagnostik Und Behandlung Des Oralen Lichen Planus Springermedizin De

Lichen Ruber Diagnostik Und Behandlung Des Oralen Lichen Planus Springermedizin De

Https Www Online Dzz De Fileadmin User Upload Heftarchiv Dzz Article 2012 10 C0a9f409 Bef0 4754 9251 2113f971a72a C0a9f409bef0475492512113f971a72a Uebersicht Lichen Planus Bornstein 1 Original Pdf

Https Www Online Dzz De Fileadmin User Upload Heftarchiv Dzz Article 2012 10 C0a9f409 Bef0 4754 9251 2113f971a72a C0a9f409bef0475492512113f971a72a Uebersicht Lichen Planus Bornstein 1 Original Pdf

Https Mediatum Ub Tum De Doc 1229125 1229125 Pdf

Https Mediatum Ub Tum De Doc 1229125 1229125 Pdf

Dentosurf

Dentosurf

Https Encrypted Tbn0 Gstatic Com Images Q Tbn And9gcsi0mtobu77crgvw 26el Dogm0efdgxukse226pjbrduocxipg Usqp Cau

Https Encrypted Tbn0 Gstatic Com Images Q Tbn And9gcsi0mtobu77crgvw 26el Dogm0efdgxukse226pjbrduocxipg Usqp Cau

Es gibt keine Heilung für Lichen planus aber Hausmittel oder Medikamente können die Symptome behandeln und Ihnen bei der Heilung.

Heilung des Lichen ruber planus Normalerweise heilt die Krankheit nach einem Zeitraum von mehreren Monaten spontan von alleine wieder ab wobei die durchschnittliche Krankheitsdauer ein bis. Der orale Lichen planus OLP ist mit einer Prävalenz von 01 - 4 Prozent eine der häufigsten Mundschleimhauterkrankungen innerhalb der adulten Bevölkerung Siehe. Dies sollte in der Regel in Zusammenarbeit mit ei-nem erfahrenen Dermatologen geschehen. Orale PUVA- und Schmalband-UVB-. 446447 2017 Oral lichen planus is a relatively common T-cell mediated inflammatory disease with potential malignant transformation. Es gibt keine Heilung daher konzentriert sich die Behandlung darauf die Heilung schwerer Läsionen zu unterstützen und Schmerzen oder andere Beschwerden zu lindern. In the mouth also known as oral lichen planus there are two symptoms to be seen. Die Therapie des OLP hängt von den Beschwerden und dem klinischen Erscheinungsbild ab. Erosiver oraler Lichen planus EOLP ist eine chronischentzündliche Erkrankung der Mundschleimhaut welche erhebliche Schmerzen verursacht und die Lebensqualität einschränkt.


Es gibt keine Heilung daher konzentriert sich die Behandlung darauf die Heilung schwerer Läsionen zu unterstützen und Schmerzen oder andere Beschwerden zu lindern. In the mouth also known as oral lichen planus there are two symptoms to be seen. Sie stellt eine Variante des Lichen ruber planus dar und gilt als fakultative Präkanzerose. Reticular lichen planus comes from the lace-like pattern of fine white lines that appear on the inside of the cheeks gums and tongue. These lesions may cause burning pain or other discomfort. Es gibt keine Heilung daher konzentriert sich die Behandlung darauf die Heilung schwerer Läsionen zu unterstützen und Schmerzen oder andere Beschwerden zu lindern. Erosiver oraler Lichen planus EOLP ist eine chronischentzündliche Erkrankung der Mundschleimhaut welche erhebliche Schmerzen verursacht und die Lebensqualität einschränkt.

Posting Komentar untuk "Oraler Lichen Planus Heilung"