Lompat ke konten Lompat ke sidebar Lompat ke footer

Gum Disease Black Gums

What Causes Black Gums Haldia Institute Of Dental Sciences Research

What Causes Black Gums Haldia Institute Of Dental Sciences Research

Gum disease black gums. Applying black tea bags all over the black gums or drinking will help to get rid of black gums. However over time it will start to damage the gums and underlying bone. Black gum disease or necrotizing periodontal disease however is an uncommon but serious form of gum disease that requires immediate treatment.

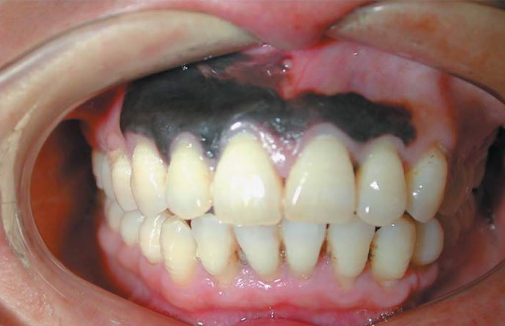
The discoloration which tends to be black in color is as a result of dead tissue or necrosis on the affected areas of the gum. What If Black Gums are Caused by Periodontal Disease. This inflammation could cause the gums to swell and bleed at first.

When the gums and bone slowly become destroyed the gums appear shrunk and so the gaps near the gums start appearing as black triangles. Other symptoms associated with oral cancer include open sores unusual bleeding and swelling in. In this case the color change is a very sudden development and its often accompanied by other worrisome signs such as trouble breathing.

It can present as a black line on the gum around the teeth. Gum diseases often cause inflammation of the gum which is also called gingivitis. If your dark gums are caused by gum disease youll want to treat the disease either before or while youre correcting the color of your gums.

Cancer inside the mouth can also cause black gums. Symptoms of black gum disease have to include. 6 Other Causes of Black.

If your gums are already at advanced stage then consult a dentist immediately. And its about as nasty as it sounds. Why are my gums black.

Gum diseases may also cause darkening of the gums. When the gums are receiving enough oxygen they are a nice bubble gum pink.

Black Gum Disease

Black Gum Disease

Dark Gums Can They Be Changed Dental Implants Chrysalis Dental Centres Canada

Dark Gums Can They Be Changed Dental Implants Chrysalis Dental Centres Canada

Black Gums Why Do I Have Dark Spots On My Gum Tissue

Black Gums Why Do I Have Dark Spots On My Gum Tissue

Why Are My Gums Black What Causes Changes In Gum Color Jefferson Dental Orthodontics

Why Are My Gums Black What Causes Changes In Gum Color Jefferson Dental Orthodontics

Why Some People Have Black Gums Youtube

Why Some People Have Black Gums Youtube

What Are The Causes Of Black Gums Dr Brian Williams D D S F A G D

What Are The Causes Of Black Gums Dr Brian Williams D D S F A G D

Why Do I Have Black Gums Howstuffworks

Why Do I Have Black Gums Howstuffworks

What Can Be Done About Brown Or Black Areas On The Gums Julie M Gillis Dds

What Can Be Done About Brown Or Black Areas On The Gums Julie M Gillis Dds

Black Line At Gumline Edge Of Crown Is Dark Darkness At Gum Line

Black Line At Gumline Edge Of Crown Is Dark Darkness At Gum Line

Color Changes To Your Gums Boulder Dentist Family Cosmetic Dentistry Dr Ania Mohelicki

Color Changes To Your Gums Boulder Dentist Family Cosmetic Dentistry Dr Ania Mohelicki

What Are Black Triangles Between Your Teeth

What Are Black Triangles Between Your Teeth

What Can Be Done About Brown Or Black Areas On The Gums Julie M Gillis Dds

What Can Be Done About Brown Or Black Areas On The Gums Julie M Gillis Dds

Black Gums How To Get Rid Of Them With Gum Depigmentation Youtube

Black Gums How To Get Rid Of Them With Gum Depigmentation Youtube

Gum Depigmentation And Bleaching Los Angeles La Periodontists

Gum Depigmentation And Bleaching Los Angeles La Periodontists

Gingivitis Periodontitis Symptoms Treatment Of Gum Disease Live Science

Gingivitis Periodontitis Symptoms Treatment Of Gum Disease Live Science

Why Do Gums Get Black Quora

Why Do Gums Get Black Quora

Black Gums Dark Gums Loop Perio

Black Gums Dark Gums Loop Perio

Gum Bleaching Improve The Appearance Of Your Dark Gums

Gum Bleaching Improve The Appearance Of Your Dark Gums

Black Gums Dark Gums Loop Perio

Black Gums Dark Gums Loop Perio

Black Triangle Disease Dr Rosanna Porretta

Black Triangle Disease Dr Rosanna Porretta

Should I Be Worried About My Dark Gums Stanley Britegums

Should I Be Worried About My Dark Gums Stanley Britegums

What Causes Black Gums Stanley Dentistry

What Causes Black Gums Stanley Dentistry

8 Causes Of Dark Gums

8 Causes Of Dark Gums

1

1

Periodontal Bone Loss Md Periodontics In Beverly Hills

Periodontal Bone Loss Md Periodontics In Beverly Hills

Black Gums Why Do I Have Dark Spots On My Gum Tissue

Black Gums Why Do I Have Dark Spots On My Gum Tissue

Gingivitis Symptoms And Causes Mayo Clinic

Gingivitis Symptoms And Causes Mayo Clinic

My Dog Has Black Gums Causes And What To Do

My Dog Has Black Gums Causes And What To Do

Black Gums Images

Black Gums Images

Home Remedies To Reduce Gum Swelling Top 10 Home Remedies Swollen Gum Gum Disease Remedies Gum Health

Home Remedies To Reduce Gum Swelling Top 10 Home Remedies Swollen Gum Gum Disease Remedies Gum Health

Black Gums Around Crown Dental News Network

Black Gums Around Crown Dental News Network

Periodontal Disease Wikipedia

Periodontal Disease Wikipedia

Black Line Removal On Crowns Dr Finkelstein Dentist Sydney

Black Line Removal On Crowns Dr Finkelstein Dentist Sydney

Diabetes Gum Disease Other Dental Problems Niddk

Diabetes Gum Disease Other Dental Problems Niddk

Gingivitis Causes Symptoms And Treatment

Gingivitis Causes Symptoms And Treatment

Gum Disease Raises The Risk Of Developing Dementia School Of Public Health University Of Minnesota

Gum Disease Raises The Risk Of Developing Dementia School Of Public Health University Of Minnesota

Tooth Decay And Gum Disease

Tooth Decay And Gum Disease

Beautiful Dentistry Gum Disease Bleeding Gums

Beautiful Dentistry Gum Disease Bleeding Gums

What Your Teeth And Gums Say About Your Health

What Your Teeth And Gums Say About Your Health

Gum Disease Treatment Symptoms Types Home Remedies Stages

Gum Disease Treatment Symptoms Types Home Remedies Stages

Black Gums Black Gums Treatment

Black Gums Black Gums Treatment

Why Do I Have Black Tartar Queen City Dental Arts

Why Do I Have Black Tartar Queen City Dental Arts

Black Gums Natural Healty Tips To Get Rid Of Them Natural Healthy Tips

Black Gums Natural Healty Tips To Get Rid Of Them Natural Healthy Tips

Swollen Gum Around One Tooth Causes And Treatment

Swollen Gum Around One Tooth Causes And Treatment

11 Remedies For Black Gums Natural Care Skincarepimples Womensskincarebeautysecrets Skin Care Recipes Black Gums Natural Care

11 Remedies For Black Gums Natural Care Skincarepimples Womensskincarebeautysecrets Skin Care Recipes Black Gums Natural Care

Here S What You Should Know About Black Triangles Between Your Teeth Trucare Dentistry Roswell

Here S What You Should Know About Black Triangles Between Your Teeth Trucare Dentistry Roswell

Why Some People Have Black Gums Pulselive Kenya

Why Some People Have Black Gums Pulselive Kenya

Treatments For The Black Triangle Cromwell Dentists Fedorciw Massoumi Llc

Treatments For The Black Triangle Cromwell Dentists Fedorciw Massoumi Llc

1

1

Gum disease can also result in other types of discoloration or symptoms such as bad breath or bleeding.

What If Black Gums are Caused by Periodontal Disease. Addisons disease This is because Addisons disease affects the production of certain hormones specifically the hormones released from your adrenal glands. If you notice a thin line of black where their teeth meet their gums it could be a sign of gum disease. In this case the color change is a very sudden development and its often accompanied by other worrisome signs such as trouble breathing. Gum diseases often cause inflammation of the gum which is also called gingivitis. Black Tea Bags Black tea has the property to clear microbes and reduce the inflammation or swelling of the gums. Black gum disease is also called acute necrotizing periodontal disease. Smoking can cause many side effects inside the mouth including dark gums. The discoloration which tends to be black in color is as a result of dead tissue or necrosis on the affected areas of the gum.


Gum diseases often cause inflammation of the gum which is also called gingivitis. When the gums are receiving enough oxygen they are a nice bubble gum pink. However over time it will start to damage the gums and underlying bone. Gum disease can also result in other types of discoloration or symptoms such as bad breath or bleeding. In this stage people start losing their teeth also. Causes of Black Gums. Applying black tea bags all over the black gums or drinking will help to get rid of black gums.

Posting Komentar untuk "Gum Disease Black Gums"